一项新研究显示大血管周的空间在偏头痛患者的大脑第一次,根据一份新闻稿。
“在慢性偏头痛和情景性偏头痛患者没有光环,有重大改变大脑区域的血管周的空间称为中枢semiovale,”威尔逊研究的合著者说,一位医学博士候选人凯克医学院在洛杉矶南加州大学的。
这个研究的发现将会在年会的北美放射学会(RSNA)下周。
在美国超过3700万人患有偏头痛,和世界各地的1.48亿人估计有慢性偏头痛,据美国偏头痛的基础。
研究小组使用ultra-high-field 7 t MRI研究偏头痛和扩大血管周的空间之间的联系。
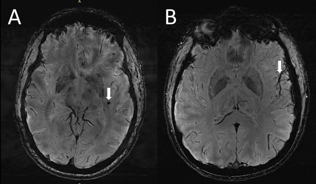
“血管周的空间是大脑中流体间隙系统的一部分,”徐说。“学习他们如何有助于偏头痛可以帮助我们更好地理解如何偏头痛发生的复杂性。”
结果表明,在椎体的数量扩大血管周的空间semiovale,白质的中心区域,在偏头痛患者大大高于健康对照组。
“我们研究了慢性偏头痛和情景性先兆型偏头痛,发现,这两种类型的偏头痛,血管周的空间更大的中枢semiovale,”徐说。
“虽然我们没有发现任何显著变化在白质病变的严重程度患者没有偏头痛,这些白质病变显著相关的存在扩大血管周的空间。这表明血管周的空间的变化可能会导致更多的白质病变的未来发展。”
这可能是大脑的突破性的深入研究。
“最终,这可以帮助我们开发新的个性化诊断和治疗偏头痛的方法。”
