这就是吹风笛会害死你的原因

风笛可以杀死
广告

这是你第一次读到风笛可以杀人吗?别担心,我们也是。英国南曼彻斯特大学医院的科学家最近发表了一项不同寻常的案例研究。

这项研究发表在《胸》杂志上。研究表明,风笛等管乐器可能是真菌和霉菌的主要滋生地。音乐家经常吸入这些乐器,在大多数情况下会导致肺部发炎,甚至在某些情况下会导致致命的肺部疾病。根据风笛手的个案研究,被称为“风笛肺”的其他管乐器也面临着同样的风险。

致谢:阿伯丁高地游戏公司
当他三个月不吹风笛时,他的病情有所好转。致谢:阿伯丁高地游戏公司

我们都熟悉患流感或感冒后那恼人的、持续不断的咳嗽。现在想象一下,咳嗽持续了七年之久。这个案例研究是关于一位61岁的老人的,他就经历了这一切。他患有过敏性肺炎(HP)——这基本上是由吸入真菌、霉菌、灰尘或化学物质引起的肺部慢性炎症,最终会导致慢性肺部疾病。

通常很难找出HP疾病的致病因素。接受研究的病人没有任何通常的指标:房子里没有霉菌,没有接触鸽子或其他鸟类,不吸烟,也没有接触任何化学物质。但有一件事他每天都做,那就是不顾烦人的咳嗽和发炎的肺部吹风笛。有趣的是,有一次他的病情有所好转,那是他把风笛留在家里,去澳大利亚旅行了3个月。

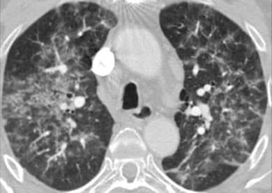
HP患者肺部发炎的CT扫描。致谢:M. Funke, J-M。Fellrath /欧洲呼吸杂志》上。
HP患者肺部发炎的CT扫描。致谢:M. Funke, J-M。Fellrath /欧洲呼吸杂志》上。

从芦苇保护器、设备的颈部和背部采集样本,并放置在培养皿中。后来的检查显示,不同种类的真菌在培养皿中开花。由此得出结论,酵母、霉菌等真菌在风笛潮湿的环境中繁殖良好。患者在不知情的情况下,每天都向真菌中呼吸,这持续引发了HP。

不幸的是,他没能活下来,死于HP。在演奏小号和萨克斯管的音乐家中也有其他非致命的HP病例。我们仍然不知道什么是最好和最安全的清洁管乐器的方法,但论文建议,乐器应该定期用消毒剂擦拭,以抑制微生物的生长。

学分:在上面
学分:在上面

这是一项不同寻常但非常重要的研究,概述了音乐家面临的健康风险。也许下一个弹奏管乐器的HP患者,不必等待漫长的7年才能找到他的诱因。让我们知道你对风笛肺的看法!你会吹管乐器吗?

广告

1评论

  1. Clawsometrumpet 回复

    你知道小号演奏者不是通过乐器呼吸的吧?小号新手很早就知道,直接通过吹口吸气通常会导致一阵咳嗽和音乐中断。我们总是告诉他们那会害死他们。谢谢你证明了我们是对的。

留下一个回复

您的电邮地址将不会公布。