科学家发现了一种杀死癌细胞的新方法 - 光治疗

广告

癌症疗法的潜力为患有这种疾病的人带来了新的希望。

根据英国,波兰和瑞典的欧洲专家团队,已经开发了一种新型的摄影疗法(基于光),该疗法靶向并破坏患者的癌症肿瘤。守护者

摄影疗法是一种革命性的癌症治疗,将在手术,化学疗法,放疗和免疫疗法后成为世界第五次癌症治疗。

伦敦癌症研究所开创的光激活技术使癌细胞在黑暗中发光,使外科医生能够去除更多的肿瘤,同时在手术完成后消除任何残留细胞。这项尖端技术甚至暴露了最小的癌细胞,爱游戏ayx体育使外科医生更容易将其删除。

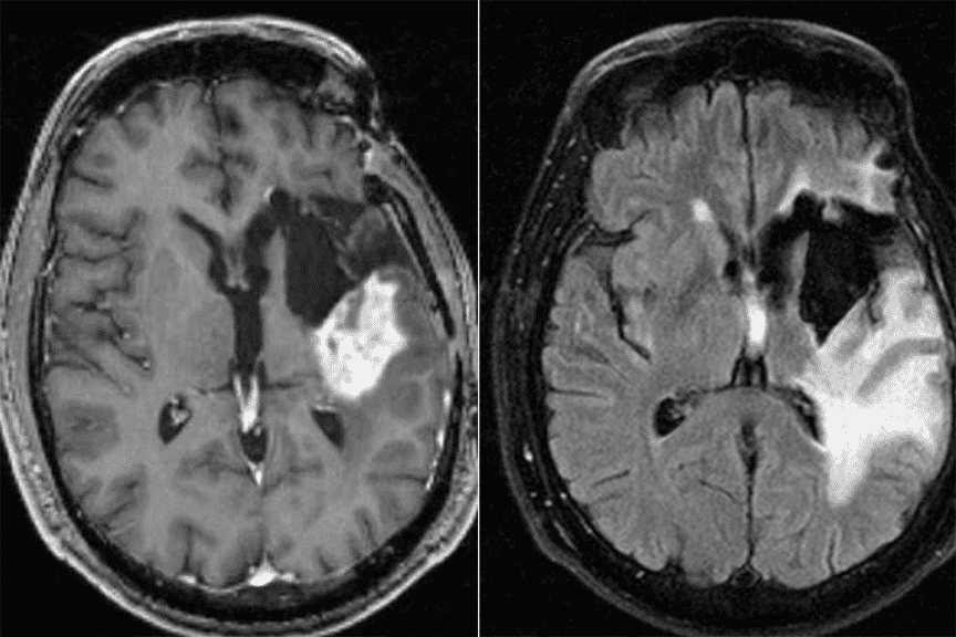
胶质母细胞瘤是最严重的脑癌类型之一,并且正在对患有该疾病的小鼠进行新的疗法。

新型摄影疗法的试验还表明,该治疗触发了一种免疫反应,可以在将来靶向癌细胞的免疫系统,这表明它可以防止胶质母细胞瘤在手术后返回。研究人员现在还正在研究儿童癌症神经母细胞瘤的新治疗方法。

研究负责人加布里埃拉·克雷默·梅里克(Gabriela Kramer-Marek)博士说:“胶质母细胞瘤等脑癌很难治疗,可悲的是,患者的治疗选择太少了。”

“由于肿瘤的位置,手术是具有挑战性的,因此在手术期间去除肿瘤细胞并治疗后来剩下的残留癌细胞的新方法可能会带来很大的好处。”

“我们的研究表明,使用荧光标记物,杂物蛋白和近红外光的新型摄影疗法治疗可以鉴定和治疗小鼠中剩余的胶质母细胞瘤细胞。将来,我们希望这种方法也可以用来治疗人类胶质母细胞瘤和可能的其他癌症。”他补充说。

伦敦帝国学院的癌症研究英国融合科学中心和英国癌症研究所资助了该计划,该计划汇集了来自世界各地的专家,以寻找对抗癌症的创新方法。

“多学科工作对于寻找创新的解决方案至关重要,以应对我们在癌症研究,诊断和治疗方面面临的挑战,这是一个很好的例子,” ICR癌症干细胞团队的负责人Axel Behrens教授说。英国癌症研究主任融合科学中心。

“这项研究表明了一种新型的方法,可以使用光使用光将免疫抑制环境变成可免疫吸收的环境,并具有令人兴奋的潜力作为对这种侵略性脑肿瘤的疗法。”

英国癌症研究信息经理查尔斯·埃文斯(Charles Evans)博士说:“摄影疗法可以帮助我们瞄准手术期间无法去除的癌细胞,这可能会帮助人们在治疗后寿命更长。”

他强调仍然存在技术挑战,例如使用近红外光到达肿瘤的所有面。不过,他确实说,他“很高兴看到这项研究是如何发展的”。

广告

发表评论

您的电子邮件地址不会被公开。