把智能手机变成显微镜只需要3美分

3美分显微镜,
广告

显微镜制造商把目光移开,因为我们将向你介绍一种3美分的镜片,可以把任何旧智能手机变成一台合理的显微镜。这款镜头是由宋玉龙(Yulung Sung)领导的休斯顿大学团队开发的。

3美分的显微镜

这款镜头是为了扩大显微镜的使用范围,并使其成为智能手机功能的一部分。晶状体主要由聚二甲基硅氧烷(PDMS)组成。通过将预先确定的量滴入预热表面来硬化。它之前被硬化成镜片材料,它有类似蜂蜜的流体性质。每一滴液滴都是由一个看起来像未来滴管的廉价手持设备单独产生的。镜片上的曲线决定了镜片的放大倍率,材料也像隐形眼镜一样相当灵活,但要厚得多。

直接插入摄像头插槽就可以连接到智能手机上。有一些自动粘合可用的镜头与相机光圈。它甚至可以被分离和重用。

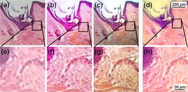
为了证明显微镜的功能,这张皮肤毛囊的照片是由这台智能手机显微镜和奥林巴斯IX-70显微镜拍摄的。这款智能手机的镜头可以放大120倍,奥林巴斯显微镜可以放大100倍。以下是一系列照片,分别由奥林巴斯显微镜和诺基亚Lumia智能手机显微镜以40倍、100倍和200倍的亮度拍摄并增强。

3美分的显微镜

生产这款神奇镜片的宋团队负责人表示,目前这种硬化液滴的成本是1美分。如果最终能被制造出来,成本可能会达到3美分!在我们的实际生活和学术生活中,显微镜需要更多的钱,在几千美元左右。但是,它们是可定制的,而且更稳定。它可以通过为智能手机显微镜构建一个固定结构,并包括不同类型的透镜来进行修正。

显微镜智能手机3美分

这项发明将产生重大的学术和社会影响。教师、社会工作者、健康教育者只要从口袋里拿出一个额外的镜片,把它连接到智能手机上,他们就会在几秒钟内准备好一个显微镜。

广告

留下回复

你的电邮地址将不会公布。